Cu cap și suflet

• Sus • Planul site-ului • Certificare internațională • Pliante • Proiect European • News • Terapie cu zâmbete •

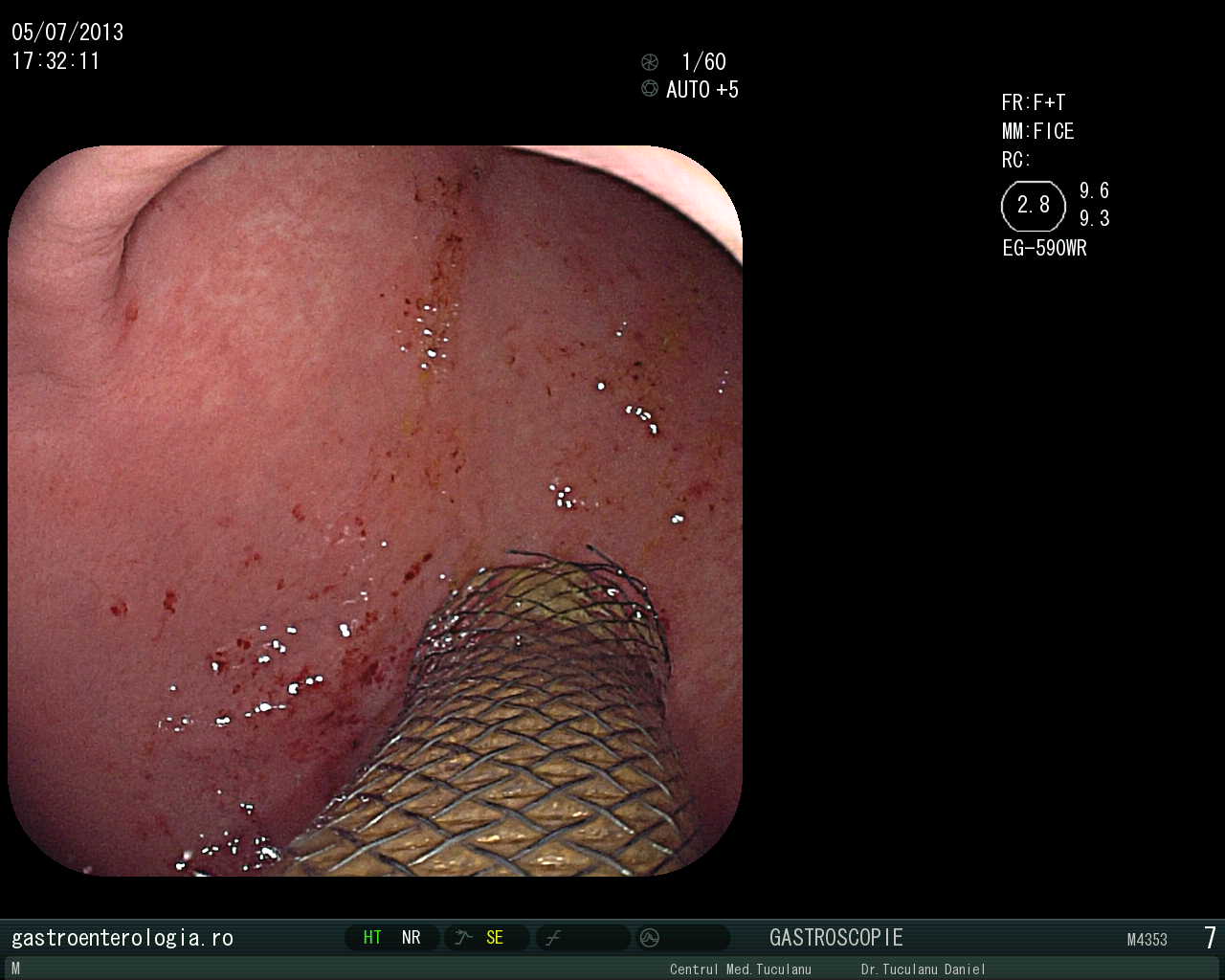
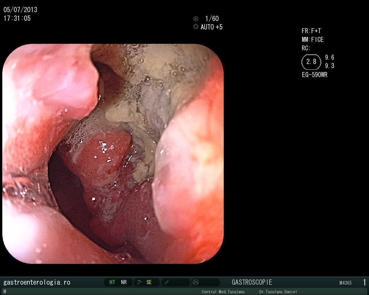
Extractie corp strain (stent esofagian migrat)

• Programări • Localizare • 

• Centrul Medical Țuculanu • Bibliotecă Medicală Virtual㠕

 

Azi

Hematologie

Hemostază endoscopică prin electrocoagulare cu Argon plasma

În curând

Gastroenterologie pediatrică

   

• Legături utile • Pentru pacienți • Pentru medici •
• Istoria endoscopiei digestive • Un caz celebru de cancer colonic •

• Cromoendoscopia digestiv㠕 Disfagia • pH-metria esofagiană computerizat㠕 
• Manometria gastric㠕 Electrogastrografia • Imagini • Scheme terapeutice • 
• Termeni endoscopici • Transformarea malignă a ulcerului gastric • 
• Evoluția endoscopică a ulcerului gastric • Scurt istoric al videoendoscopiei cu capsul㠕
• Factori etio-patogenici în colonul iritabil • Tratamentul colonului iritabil •
• Tubul digestiv, litiaza și infecția urinar㠕

 

Din cauza numeroaselor fotografii, încărcarea paginii poate să dureaze foarte mult timp!

Pentru mărirea fotografiilor dați click pe imagine.

 

 

• Balon de slăbit umplut cu aer •
• Cancer gastric •
• Colorații intravitale cu Lugol •
• Colorații intravitale cu Roșu de Congo •
• Metaplazie intestinală - aspect histologic •
• Recidivă cancer colonic operat •
• Polipoză gastrică - Capsulă endoscopică •
• Polip colonic - Capsulă endoscopică •
• Diverticul colonic - Capsulă endoscopică •
• Valva-ileocecală - Plăci Peyer ileo-colonice •
• Boală de reflux (pH-metrie) •
• Stent in cancer esofagian inoperabil •
• Extractie corp strain (stent esofagian migrat) •
• Stent în cancer sigmoidian inoperabil •

• Cromoendoscopia digestivă clasică (reală) •
• Cromoendoscopia digestivă virtuală •
• Disfagia •
• pH-metria esofagiană computerizată •
• Manometria antro–duodenală •
• Electrogastrografia •
• Imagini •
• Scheme terapeutice •
• Termeni endoscopici •
• Transformarea malignă a ulcerului gastric •
• Evoluția endoscopică a ulcerului gastric •
• Scurt istoric al videoendoscopiei cu capsulă •
• Factori etio-patogenici în colonul iritabil •
• Tratamentul colonului iritabil •
• Tubul digestiv, litiaza și infecția urinară •


Descarcă Calendarul 2022


Hematologie on line

Psihiatrie on-line

Consultații și rețete de Psihiatrie decontate de
CJAS Timiș

Tratament endoscopic (nechirurgical) pentru evitarea operației paleative sau anusului contra naturii în cancerul colo-rectal avansat

Polipectomie cu echipamente sigure și ultramoderne

Montarea de stent-uri (proteze) esofagiene, duodenale sau colo-rectale în stenoze canceroase sau necanceroase

Depistarea precoce a cancerului colo-rectal, formă tot mai frecventă de cancer

Montarea balonului intragastric pentru slăbit

Cromoendoscopie pentru depistarea timpurie a cancerului și tumorilor benigne

Injecții cu exo-toxină botulinică pentru fisură anală

Tratamente în reumatologie și neurologie cu lumină polarizată (Laser) și nepolarizată (Bioptron)

Ligatură hemoroidală nechirurgicală


Pentru a afla cât mai curând de noile tehnici şi echipamente medicale pe care ne străduim să le includem în portofoliul nostru, trimiteţi-ne un mesaj la adresa news@gastroenterologia.ro sau un SMS la numărul 0735.165.500 pentru a vă putea expedia periodic mesaje telefonice sau buletinul nostru informativ (newsletter) care conţine informaţii despre metode de diagnostic şi tratament introduse recent în lista noastră de servicii, dispozitive medicale, proteze, aparatură şi instrumentar achiziţionat în ultima vreme,  informaţii sau comentarii despre noi tehnici sau descoperiri medicale, promoţii periodice, angajări de personal, modificări de orar, alte noutăţi.
Trimite-ţi un mesaj la adresa webmaster@plusx.ro cu sugestiile Dumneavoastră despre acest site.



Toate paginile din această locaţie sunt publicate cu scop informativ, recomandările găzduite de portal având doar caracter orientativ deoarece o prescripţie medicală corectă se face doar pe baza unui consult clinic şi paraclinic amănunţit, astfel încât sfaturile noastre nu se pot substitui recomandărilor medicului Dumneavoastră.
Deşi datele prezente în aceste pagini precum şi e-mail-urile pe care vi le trimitem sunt atent verificate de medici, ele nu trebuie folosite sub nici o formă în scopul diagnosticării şi tratării oricărei afecţiuni sau pentru a înlocui medicamentele ori alte mijloace terapeutice prescrise de personalul medical autorizat care vă îngrijeşte sau supraveghează.
Data publicării: 15.01.2004 Ultima actualizare: 29.06.2022
Copyright © 2004 Gastroenterologia On Line, emblemă şi marcă înregistrată Centrul Medical Țuculanu.